smiling woman after dental implant placement

Dental Implants Cost

Replacing a single missing tooth with an implant-supported crown carries a national average cost of $3,100 to $5,800.* We offer financing to make treatment by leaders in dental implantology affordable on virtually any budget. Austin, TX, invests in dental implants from us because our renowned implant experts provide exceptional results. 

See What Investing In Implants Can Do For You

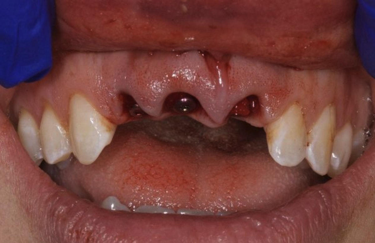
Patient missing three front teeth
Before
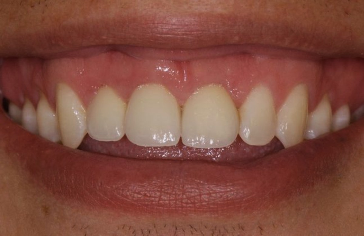
Patient with three implant-supported restorations
After
This patient lost multiple teeth in a scooter accident. We replaced their lost teeth with three implant-supported restorations. The result looks natural, didn't require crowning any teeth to support a traditional bridge, and will prevent the jaw atrophy that occurs in the absence of tooth roots.

What Are Dental Implants And Why Are They So Popular?

A dental implant-supported restoration consists of three parts: the implant, an abutment, and a restoration. A dental implant is an artificial tooth root. An abutment connects the implant to your restoration (dental bridge, crown, or dentures). Dental implants, abutments, and restorations are priced separately. 

Implants have a higher cost than traditional restorative dentistry procedures, but for qualifying candidates, dental implants are the best solution for replacing missing natural teeth. 

Implants provide the highest level of support and stability for restorations. For example, dentures supported by implants will never slip, and contribute to a stronger bite. Dental implants also prevent the jawbone recession that is caused by missing teeth. No other tooth replacement option provides these invaluable benefits.

Budgeting For Dental Implants

The dentists at our Austin, TX, dental office accept CareCredit® so that patients can comfortably budget for dental implants. CareCredit is a third-party financing option that breaks dental payments into convenient monthly installments with little or no interest. We also accept cash payments, as well as American Express, Discover, MasterCard, and Visa.

Reviews of Our Dental Implant Experts

1

Gwen Phone

Austin, TX

2023

Google logo

38th Street Dental is the best! Dr. Meek and staff always make you feel welcome. They don't treat you like the typical no-name patient; they treat you like one of their own and make you feel special! They have state of the art equipment which makes treatment plans spot-on and more efficient and effective. Surprisingly their prices are quite reasonable as well. I have received better care and better prices here (ie. lower cost out of pocket) than my In-Network Dental plan, which I no longer use. 

View on Google
1

M. Manley

Austin, TX

2023

Google logo

I love Dr. Tasch and this practice. Dr. Tasch truly listens, and I'm so lucky to have found him. Everyone at 38th Street is so professional and kind. They always listen to my concerns, and give me the BEST treatment plan, that I can afford.

View on Google

*According to the American Dental Association’s Health Policy Institute cost survey, as reported by Forbes

The team at 38th Street Dental

38th Street Dental

38th Street Dental in Austin, TX, utilizes the latest proven technology to provide you personalized dental care. Dr. Meek and Dr. Tasch are members of local and national dental associations, including:

  • The American Dental Association
  • The Texas Dental Association
  • The Academy of General Dentistry
  • The Capital Area Dental Society

To schedule an appointment, call us at (512) 458-6222 or contact us online today!

Get In Touch Today

Rate, Review & Explore

Social Accounts Sprite